팝업레이어 알림
팝업레이어 알림이 없습니다.치아도
나이가 든다.
- 노화치아에서 건강한 치아로!
- 안티에이징(anti-aging) 치아 노화 치료 “굿티스“
오기 싫은 치과,
하루만에 끝내세요!
- 의식하진정법(수면)치료 · 당일 완성 (원데이 세렉) 치료
GOOD TIS IMPLANT
치과공포증과 통증을 줄인
의식하진정법(수면)치료
두려움때문에 치료를 미루고 계신가요?
이제 치과치료의 공포에서 벗어나 편안하게 치료받으시길 바랍니다.
-
치아노화치료
굿티스
단순한 심미치료가 아닌,
원래의 기능을 회복합니다. -
공포증 최소!
의식하진정법
치아 뿐만 아니라,
심리적 고통까지 치료합니다. -
당일 완성!
원데이 세렉 치료
기다릴 필요 없이
하루만에 충치치료를 끝냅니다. -
자신감을 찾는
앞니치료
건강하고 아름답게
이미지를 바꿔드립니다. -
맞춤형 프로그램
평생관리센터
치아 치료 만큼 중요한 치료 후 유지·관리로
평생 당신의 치아를 관리 해 드립니다. -
심미성과 통증을 줄인
치아교정
투명한 교정장치 인비절라인과 필요한 부분만 하는
앞니부분교정으로 자신감 있는 미소를 찾아드립니다 -
구강해부학적인 뷰티솔루션
구강악안면시술
밝고 자신감 있는
미소를 선사합니다.
- 임플란트 식립 갯수
- 2025년 2월 까지
24,292
GOOD TIS SPECIAL
굿티스는 다릅니다!
- 투명한 진료 합리적인 비용
- 불필요한 시술 권유 없는 정직한 치료
- 환자의 신뢰를 우선으로 하는 서비스
- 전문의료진이 직접 운영
- 전문의료진이 상담부터 치료까지 진행
- 사무장치과가 아닌 신뢰할 수 있는 운영
- 3D 검사장비와 6단계 정밀 진단
- 정밀구강 디지털 슬라이드 및 인상채득
- 의료진 협진 회의를 통한 정밀 진단
- 지르코니아 보철물 사용
- 지르코니아 보철물을 사용한 임플란트를
최장 10년 간 사후관리
- 의삭하진정법(수면) 치료
- 수술 뿐만 아니라 신경치료, 충치치료, 잇몸치료 등
치과공포증으로 더 이상 치료 미루지 마세요.
- 1인 진료실 운영
- 독립된 공간에서 편안하게 진료를
받으실 수 있도록 1인 진료실을 제공
- 철저한 소독 시스템
- 모든 장비를 멸균 처리하여 감염 위험을 최소화,
안전하고 위생적인 진료 환경 제공
- 의료용 현미경 치료
- 치료부위를 최대 30배 확대하여
정밀성과 정확성을 비약적으로 향상
- 믿을 수 있는 의료진
- 지역민과 의료진을 위해 사회공헌 치아건강 강의 진행
다수의 임상경험과 연구활동
- 치료만큼 중요한 사후 관리 시스템
- 최장 10년 사후 보증제도와 치료 후 구강건강
관리시스템으로 치료 후까지 책임을 다합니다.
- 앞니치료 내부 기공 연구소
- 원데이 세렉시스템을 이용한 맞춤 보철물 제작으로 원내 기공소에서 제작합니다.
굿티스치과 소개 환자가 많은 이유
지역사회에서 오래 운영된 치과는 이유가 있습니다.
의사로서의 실력과 15년 이상 쌓아온 신뢰는 어떤 의원에서도 대체할 수 없는 굿티스만의 자긍심입니다.
-
실력치과의사를 대상으로
라이브써저리까지 하는 검증된 의사 -
신뢰굿티스는 치료뿐만 아니라
치료후 사후관리까지 책임집니다. -
검증Since 2004 스마트치과 창립자
지역사회 15년이상 진료
- 임플란트 식립 갯수
- 2023년 6월 까지
38,702
- 네비게이션
임플란트 - 3D 가이드를 사용해 정밀하게
임플란트를 식립하는 시술
navigation implant
- 원데이
임플란트 - 임플란트 식립과 보철 장착을
하루에 완료하는 방법
ONE-Day implant
- 수면
임플란트 - 의식하진정요법으로 수면 상태에서
진행하는 임플란트 시술
sleep implant
- 자가혈
임플란트 - 자가혈(PRF)을 이용하여
빠른 치유를 돕는 임플란트
Autologous Blood Implant
- 뼈이식
임플란트 - 부족한 잇몸뼈를 이식해
임플란트를 식립하는 방법
Bone Graft Implant
- 상악동 거상술
임플란트 - 상악동을 들어 올려
임플란트 식립을 위한 뼈 공간 확보
Sinus Lift Surgery
- 전악
임플란트 - 치아 전체를 대상으로
임플란트를 식립하는 시술
Full Mouth Implant
- 임플란트
틀니 - 임플란트로 지지되는 틀니로
안정성과 기능 향상
Implant-Supported Denture
- 보험
임플란트 - 건강 보험이 적용되는
임플란트 시술
Insurance-Covered Implant
- 재수술
임플란트 - 기존 임플란트 실패 시
재수술을 통한 교체 시술
Implant Revision Surgery
GOOD TIS DOCTOR
숙련된 의료진의
수준 높은 진료를 제공하며
환자 중심의 진료 원칙을 준수하는 굿티스치과
- 굿티스치과
- 김진수 고문원장
진실로 고민하며 정직하고
섬세하게 진료 하겠습니다.
- 굿티스치과
- 박우현 대표원장
오늘과 다른 행복을 드릴수
있도록 진료하겠습니다.
- 굿티스치과
- 이건우 원장
미소가 환하게 빛날 수 있도록
고민하고 헌신하겠습니다.
- 굿티스치과
- 이지현 원장
환자 한 분 한 분의 소중함을 알고,
최상의 만족을 드리겠습니다.
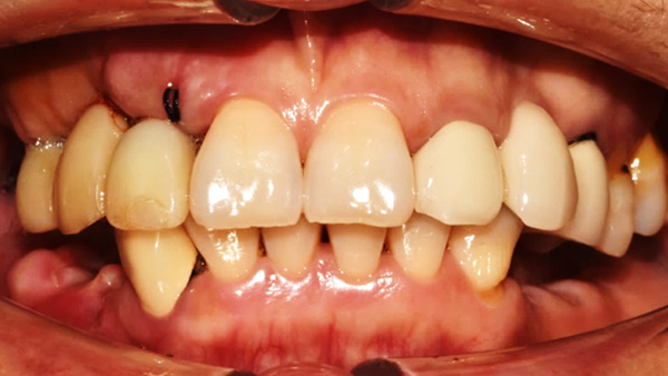
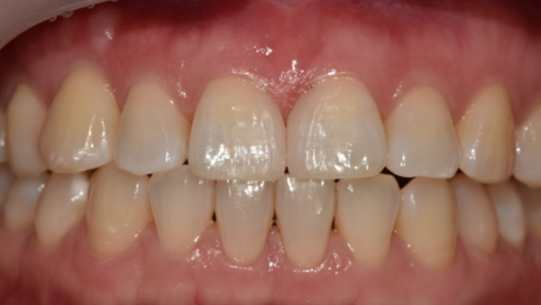
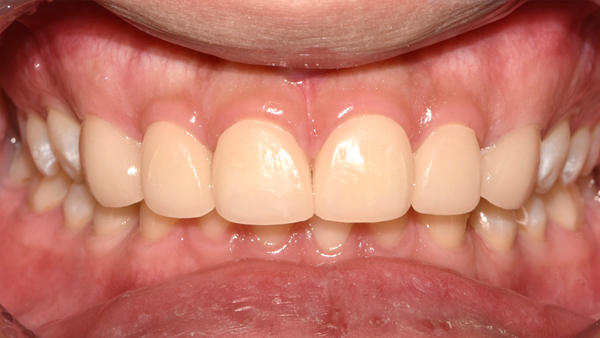
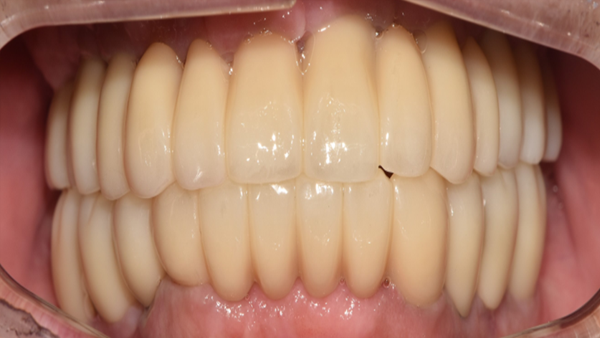
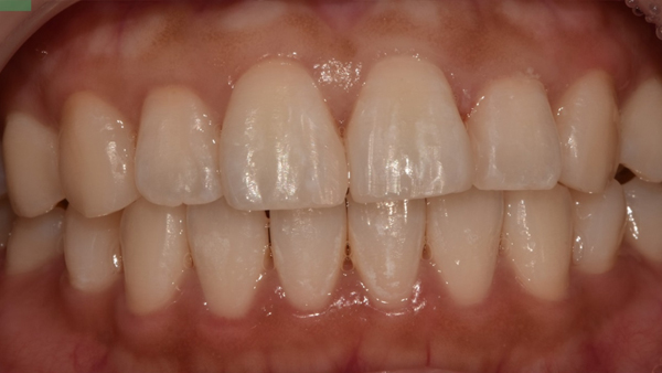
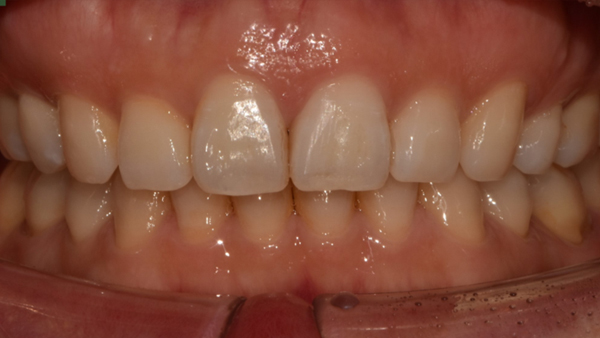
GOOD TIS BEFORE & AFTER
눈에 보이는 변화,
느끼는 자신감!
실제 치료 전과 후를 확인하세요.


GOOD TIS TV
다양한 TV매체를 통한
치아 정보 대방출!
-
- 대구 MBC
- TV메디컬 약손
치과 치료를 망설이고 계신 분들을 위해 좀 더 편안하게 치과 치료를 받을 수 있는 의식하 진정법에 대해 알아본다.
굿티스치과 박우현 원장
-
- TV조선
- 알맹이
세 살 치아 백살까지 간다.
굿티스치과 박우현 원장
-
- TV조선
- 생방송 광화문의 아침
임플란트는 영구적이다?
조금씩 나이가들다 보면 자연스럽게 치아가 소실되거나 기능을 다하지 못하는 치아가 생기기 마련, 그럴 때 고려하게 되는 임플란트굿티스치과 박우현 원장
GOOD TIS INFORMATION
당신의 평생주치의, 굿티스치과
- 굿티스치과
- 053-712-9999




