팝업레이어 알림
팝업레이어 알림이 없습니다.치아도 나이가 든다.
노화치아에서 건강한 치아로!
안티에이징(anti-aging) 치아 노화 치료 굿티스
오기 싫은 치과,
하루만에 끝내세요!
GOOD TOOTH IMPROVE SMILE
의식하진정법(수면) · 당일 완성(원데이 세렉) 치료
Good Tooth
Improve Smile
환자 중심의 정직한 진료
굿티스 치과는 치료의 '왜'와 '어떻게'를 명확히 안내하며
환자와 이해를 나누는 진료를 지향합니다.
환자의 이해를
가장 소중하게 생각합니다.
GOOD TOOTH IMPROVE SMILE
굿티스치과는 '왜 필요한지', '어떤 과정인지', '어떻게 진행되는지'
차분하고 명확하게 안내하며 함께 치료를 완성합니다.
GOOD TIS IMPLANT
치과공포증과 통증을 줄인
의식하진정법(수면)치료
두려움때문에 치료를 미루고 계신가요?
이제 치과치료의 공포에서 벗어나 편안하게 치료받으시길 바랍니다.
-
치아노화치료
굿티스
단순한 심미치료가 아닌,
원래의 기능을 회복합니다. -
공포증 최소!
의식하진정법
치아 뿐만 아니라,
심리적 고통까지 치료합니다. -
당일 완성!
원데이 세렉 치료
기다릴 필요 없이
하루만에 충치치료를 끝냅니다. -
자신감을 찾는
앞니치료
건강하고 아름답게
이미지를 바꿔드립니다. -
맞춤형 프로그램
평생관리센터
치아 치료 만큼 중요한 치료 후 유지·관리로
평생 당신의 치아를 관리 해 드립니다. -
심미성과 통증을 줄인
치아교정
투명한 교정장치 인비절라인과 필요한 부분만 하는
앞니부분교정으로 자신감 있는 미소를 찾아드립니다 -
구강해부학적인 뷰티솔루션
구강악안면시술
밝고 자신감 있는
미소를 선사합니다.
- 임플란트 식립 갯수
- 2025년 2월 까지
24,292
GOOD TIS SPECIAL
굿티스는 다릅니다!
- 투명한 진료 합리적인 비용
- 불필요한 시술 권유 없는 정직한 치료
- 환자의 신뢰를 우선으로 하는 서비스
- 전문의료진이 직접 운영
- 전문의료진이 상담부터 치료까지 진행
- 사무장치과가 아닌 신뢰할 수 있는 운영
- 3D 검사장비와 6단계 정밀 진단
- 정밀구강 디지털 슬라이드 및 인상채득
- 의료진 협진 회의를 통한 정밀 진단
- 지르코니아 보철물 사용
- 지르코니아 보철물을 사용한 임플란트를
최장 10년 간 사후관리
- 의삭하진정법(수면) 치료
- 수술 뿐만 아니라 신경치료, 충치치료, 잇몸치료 등
치과공포증으로 더 이상 치료 미루지 마세요.
- 1인 진료실 운영
- 독립된 공간에서 편안하게 진료를
받으실 수 있도록 1인 진료실을 제공
- 철저한 소독 시스템
- 모든 장비를 멸균 처리하여 감염 위험을 최소화,
안전하고 위생적인 진료 환경 제공
- 의료용 현미경 치료
- 치료부위를 최대 30배 확대하여
정밀성과 정확성을 비약적으로 향상
- 믿을 수 있는 의료진
- 지역민과 의료진을 위해 사회공헌 치아건강 강의 진행
다수의 임상경험과 연구활동
- 치료만큼 중요한 사후 관리 시스템
- 최장 10년 사후 보증제도와 치료 후 구강건강
관리시스템으로 치료 후까지 책임을 다합니다.
- 앞니치료 내부 기공 연구소
- 원데이 세렉시스템을 이용한 맞춤 보철물 제작으로 원내 기공소에서 제작합니다.
굿티스치과 소개 환자가 많은 이유
지역사회에서 오래 운영된 치과는 이유가 있습니다.
의사로서의 실력과 15년 이상 쌓아온 신뢰는 어떤 의원에서도 대체할 수 없는 굿티스만의 자긍심입니다.
-
실력치과의사를 대상으로
라이브써저리까지 하는 검증된 의사 -
신뢰굿티스는 치료뿐만 아니라
치료후 사후관리까지 책임집니다. -
검증Since 2004 스마트치과 창립자
지역사회 15년이상 진료
- 임플란트 식립 갯수
- 2023년 6월 까지
38,702
- 네비게이션
임플란트 - 3D 가이드를 사용해 정밀하게
임플란트를 식립하는 시술
navigation implant
- 원데이
임플란트 - 임플란트 식립과 보철 장착을
하루에 완료하는 방법
ONE-Day implant
- 수면
임플란트 - 의식하진정요법으로 수면 상태에서
진행하는 임플란트 시술
sleep implant
- 자가혈
임플란트 - 자가혈(PRF)을 이용하여
빠른 치유를 돕는 임플란트
Autologous Blood Implant
- 뼈이식
임플란트 - 부족한 잇몸뼈를 이식해
임플란트를 식립하는 방법
Bone Graft Implant
- 상악동 거상술
임플란트 - 상악동을 들어 올려
임플란트 식립을 위한 뼈 공간 확보
Sinus Lift Surgery
- 전악
임플란트 - 치아 전체를 대상으로
임플란트를 식립하는 시술
Full Mouth Implant
- 임플란트
틀니 - 임플란트로 지지되는 틀니로
안정성과 기능 향상
Implant-Supported Denture
- 보험
임플란트 - 건강 보험이 적용되는
임플란트 시술
Insurance-Covered Implant
- 재수술
임플란트 - 기존 임플란트 실패 시
재수술을 통한 교체 시술
Implant Revision Surgery
GOOD TIS DOCTOR
숙련된 의료진의
수준 높은 진료를 제공하며
환자 중심의 진료 원칙을 준수하는 굿티스치과
- 굿티스치과
- 김진수 고문원장
진실로 고민하며 정직하고
섬세하게 진료 하겠습니다.
- 굿티스치과
- 박우현 대표원장
오늘과 다른 행복을 드릴수
있도록 진료하겠습니다.
- 굿티스치과
- 홍재현 수석원장
작은 불편함도 놓치지 않는
세심한 진료를 약속드립니다.
- 굿티스치과
- 이지현 원장
환자 한 분 한 분의 소중함을 알고,
최상의 만족을 드리겠습니다.
- 굿티스치과
- 이보혜 원장
친절한 진료로
마음 따뜻한 감동을 드립니다.
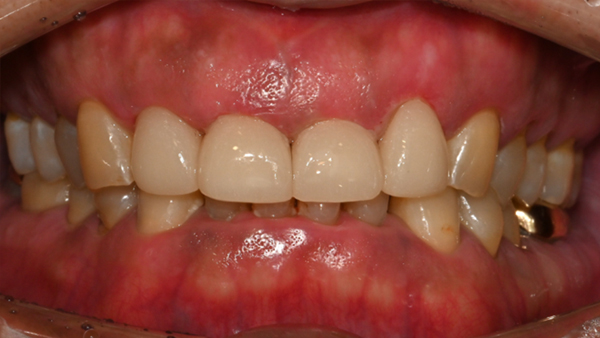
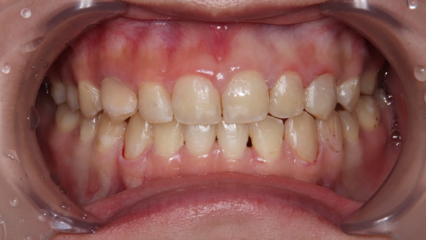
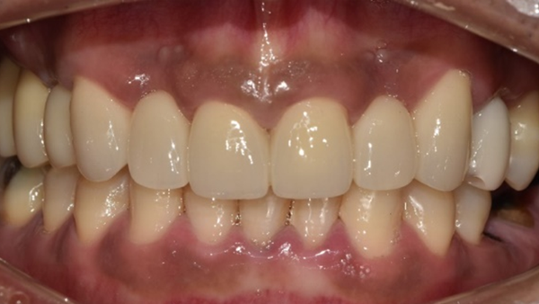
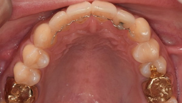
GOOD TIS BEFORE & AFTER
눈에 보이는 변화,
느끼는 자신감!
실제 치료 전과 후를 확인하세요.


GOOD TIS TV
다양한 TV매체를 통한
치아 정보 대방출!
-
- 대구 MBC
- TV메디컬 약손
치과 치료를 망설이고 계신 분들을 위해 좀 더 편안하게 치과 치료를 받을 수 있는 의식하 진정법에 대해 알아본다.
굿티스치과 박우현 원장
-
- TV조선
- 알맹이
세 살 치아 백살까지 간다.
굿티스치과 박우현 원장
-
- TV조선
- 생방송 광화문의 아침
임플란트는 영구적이다?
조금씩 나이가들다 보면 자연스럽게 치아가 소실되거나 기능을 다하지 못하는 치아가 생기기 마련, 그럴 때 고려하게 되는 임플란트굿티스치과 박우현 원장
GOOD TIS INFORMATION
당신의 평생주치의, 굿티스치과
- 굿티스치과
- 053-712-9999




