GOOD TEETHDENTAL CLINIC
- 안전성과 풍부한 경험이 관건!
- 사랑니
사랑니 17~25세에 첫사랑을 앓듯 입 안 깊숙한 곳에서 자라나는 제 3대구치로 큰 어금니 중 세번째에 위치한 치아입니다.
사랑니 발치,
이런 경우 꼭 필요 합니다.
-

01.
잇몸에 걸쳐 맹출된 경우
-

02.
주변 치아를 밀어내는 경우
-

03.
맞 닿은 치아 사이에 충치가 생긴 경우
-

04.
염증이나 낭종이 발생한 경우
사랑니 발치,
미루면 안되는 이유?
구강 관리가 어려워 충치 도는 잇몸질환 발생
위생 상태 저하로 구취 및 염증 발생
사랑니는 물론, 다른 치아까지 충치 감염
사랑니가 제 자리를 잡지 못해 치열 틀어짐
무서워서 미루고 계신다면
의식하진정법(수면)치료로
더 이상 방치 하지 마세요
사랑니 발치 유형
-
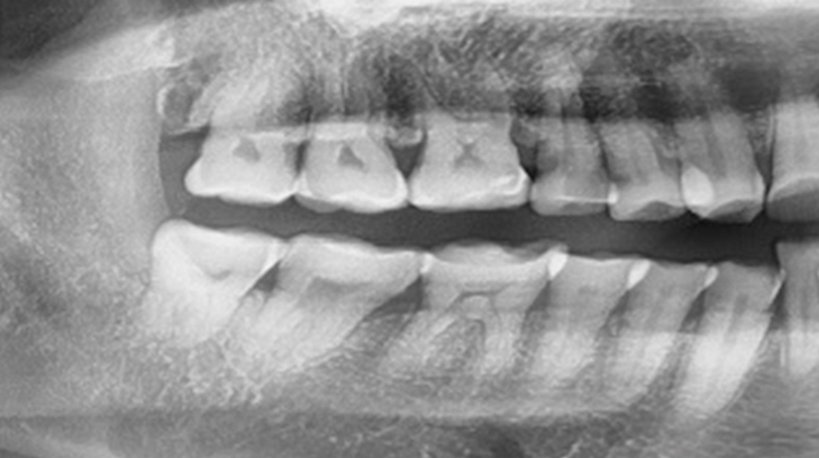
- 사랑니가 밖으로 바르게 나는 경우
- 올바르게 난 사랑니는 관리만 잘하면 별다른 문제를 일으키지 않지만 칫솔이 닿기 어려운 위치에 있는 경우 충치가 생기지 않게 관리하는 것이 쉬운 일은 아닙니다. 따라서 충치 발생으로 인해 인접 치아에 해가 되거나 염증 발생, 심한 경우 구취의 원인 될 수 있으므로 충치가 발생하기 전에 미리미리 발치할 것을 권유하는 경우가 많습니다.
-
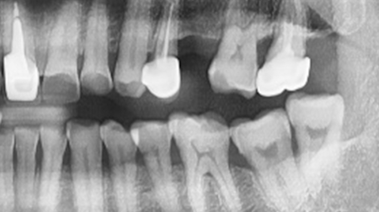
- 사랑니가 삐뚤게 나는 경우
- 사랑니가 삐뚤게 자라면 다른 치아를 밀어 치열을 불규칙하게 할 수 있습니다.
-
- 사랑니가 누워서 자라는 경우
- 사랑니가 누워서 자라면 바로 앞쪽 어금니 뿌리를 압박해 염증 등의 문제를 일으키거나 앞쪽 어금니와의 사이에 음식물이 잘 끼게되어 충치와 염증을 유발할 수 있습니다.
-
- 사랑니가 겉으로 보이지 않는 경우
- 사랑니가 매복되어 있는 경우에는 많은 경우는 아니지만, 치아를 둘러싸고 있는 치배(치아주머니)에 물이 차서 물혹이 되거나 세포가 변형되어 사랑니 주변 뼈를 점점 흡수할 수도 있습니다.
사랑니 발치는
숙련된 치과전문의에게
받는 것이 좋습니다.
신경 손상의 위험
사랑니의 수술 난이도
턱뼈 손상의 위험
- 사랑니 발치 시 신경 손상과 턱뼈 손상의
위험이 있으므로 주의가 필요합니다. - 사랑니의 뿌리가 신경에 가까이 있거나
턱뼈 깊숙이 매복된 경우, 발치 전 정밀 검사를 통해 신경과 턱뼈의 위치를 철저히 분석해야 합니다. - 특히 매복 사랑니는 잇몸 절개, 치아 분할, 뼈 삭제 등의 추가 수술이 필요할 수 있으며, 종양 발생 위험도 있어 신중한 접근이 요구됩니다.
치료 통증을 줄이는 노력
굿티스치과의
통증 관리 시스템

- 의식하진정요법
- 의식을 유지하면서 나른하고 졸린 상태를 유도하는 마취는 임플란트, 사랑니 발치, 외상 치료, 신경 치료 등 다양한 치과 시술에서 환자의 공포와 긴장을 줄여주며, 통증에 대한 부정적인 기억을 완화합니다.

- 마취약 보온장비
- 마취 약물의 온도를 사람 체온인 37.5℃로 유지하여 체온과 약물 간의 온도 차이로 인해 발생할 수 있는 불편함과 통증을 효과적으로 줄이고 편안한 마취를 제공합니다.

- 무통마취기
- 일반적인 마취 주사는 약물이 빠르게 주입되며 압력 변화로 인한 통증을 유발할 수 있습니다. 이를 방지하기 위해 약물을 1분 내외로 천천히 주입하여 마취 과정에서의 통증을 최소화합니다.
사랑니 발치 후 주의사항
발치 후 지혈을 위해 침과 피는 뱉지 말고 삼켜주세요.
시술 당일에는 뜨겁거나 질긴 음식은 피하고, 차가운 죽이나 부드러운 음식을 섭취합니다.
발치 후 첫날에는 양치와 구강 세척을 피하고, 이후에도 상처 부위를 자극하지 않도록 조심스럽게 구강 청결을 유지합니다.
격한 운동이나 심한 활동은 출혈을 유발할 수 있으므로 최소 2~3일은 피하는 것이 좋습니다.
처방받은 약물을 정해진 대로 복용하고, 흡연은 회복을 늦추고 감염 위험을 높이므로 금연이 필요합니다.
- 굿티스치과
- 053-712-9999