치아도 나이가 든다
Good Tooth Improve Smile
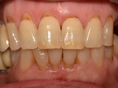
나이가 들면서 치아는 점점 마모되고 잇몸은 내려가게 됩니다.
얼굴에 주름이 생기고 몸이 쇠약해 지는 거처럼 치아노화도 자연스러운 현상
치아 노화 현상
-

01
치경부 마모
치아와 잇몸의 경계 부분이 마모 되는 증상
-

02
치아교모
치아의 위아랫면이 치아끼리의
마찰로인해 닳는 증상 -

03
법랑질마모
치아의 가장 단단한 부분인
법랑질이 마모되는 증상 -

04
치아변색
노화, 음식물, 니코틴 등으로 인해
치아 색이 변하는 증상
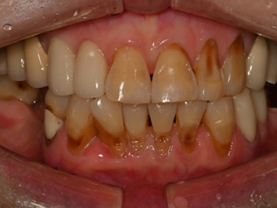
왜 치아 노화 방지가 필요한가?
피부.신체와 달리 재생되지 않는 치아
노화는 치아의 제일 단단한 층, 치아의 겉 표면 외부 충격으로부터 치아를 보호하는 역할을하는 법랑질이 얇아지는 것입니다.
한번 손상된 법랑질은 재생이 안되기 때문에 잘 관리 하고 더이상 진행 되지 않도록 관리해야 합니다.
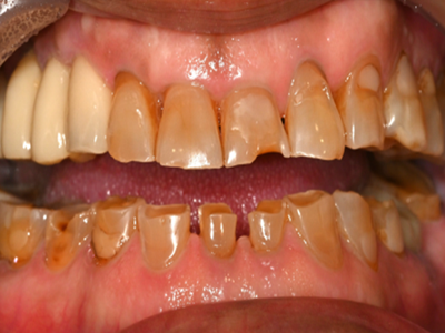
노화에 따른
구강조직의 변화
-
01
치아의 변화
- 치아 마모.교모
- 오랜사용으로 치아 표면 닳음
- 치아균열 (금)
- 치아노화로 인한 미세한 균열
- 잇몸이 내려가면서 민감도 증가
- 치아 시림
- 치아균열 (금)
- 치아노화로 인한 미세한 균열
-
02
잇몸의 변화
- 잇몸 퇴축 (잇몸내려감)
- 치아가 길어보이고 벌어짐
- 치주질환 위험 증가
- 약해진 면역력.세균감염에 취약
-
03
안모의 변화
- 치아마모로 합죽하게 변한 안모
- 입 주위& 팔자주름 심화
- 치아 상실과 닳음으로 인해 입술을 지지하는 힘이 약해짐
- 돌출입 또는 함몰되는 현상
- 치열과 마모.상실로 인해 입술이 뒤로 들어가면서 입체감 상실
-
04
침샘.구강점막(타액분비) 변화
- 구강건조증
- 침 분비량 감소로 인해 건조해짐
- 미각변화
- 혀의 미뢰기능저하로 미각 저하
- 구강 점막 위축
- 점막이 얇아지고 탄력감소
100세 시대,
질병보다 예방이
중요한 시대
치아도 리모델링이 필요합니다.
- 전문가들이 말하는
치아 노화 대비 시기는 대략 40대 부터? - 40대 이후 부터 노화와 만성치주염의 시작으로
치아와 구강조직의 부식이 빨라 지기 때문에
이시기부터 구강 구조를 점검하고,
겉으로 드러나지 않는 질병 위험을 미리 예방하는 활동
“치아노화 치료”가 필요
치아 안티에이징 (anti-aging)
지금 부터 치아 노화 관리 하면 늦출 수 있습니다.
-
- 정기 검진
-
- 스켈링, 잇몸치료
-
- 노화치아 굿티스 예방치료
-
- 잇몸 마사지
-
- 충분한 수분섭취
- 굿티스치과
- 053-712-9999