당신은 웃을 때가
제일 예뻐!
가지런한 치아는
자신감의 원천
치아 건강과 좋은 인상을 만들어내는 하모니

치아의 이상적인 황금비율

- 미소선
- 곡선형라인은 어려보임. 편평한 라인은 치아노화로 인한 현상.

- 볼튼 비율
- 윗니6개와 아랫니6개 비교시 100:77의 비율이 가장이상적인비율

- 둥근 형태의 치아 절단
- 네모난 치아는 각져 보여 비심미적

- 잇몸선
- 규칙적인 스마일 라인 선호 불규직한 잇몸라인은 비심미적

- 치아의 황금비율
- 1번.2번.3번 치아의 이상적인 황금비율은 1:.6 :1 :0.6

- 곡선형 잇몸라인
- 불규칙한 잇몸라인은 비심미적
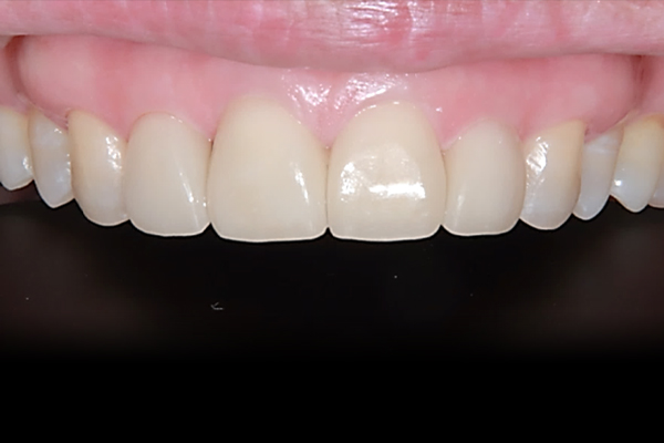
굿티스는 가장 이상적인 치아의 황금비율을 고려 하여,
개개인에게 가장 잘 어울리고 조화로운 미소라인을 찾을 수 있도록 디자인합니다.
REDESIGN
스마일 라인을
바꿀수 있는 치아와 잇몸!
모든 시술 및 수술에는 개인에 따라 염증,출혈,신경손상등 부작용이 발생할 수 있으므로
담당 의료진과 시술전/후 충분한상담후 치료 진행하시길 바랍니다.

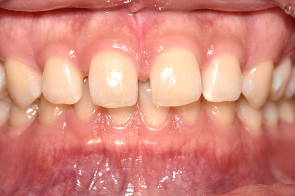
BEFORE (24.12.7)
치아 사이 벌어짐

AFTER (25.1.21)
앞니 세라믹(라미네이트)치료로 자신감 회복

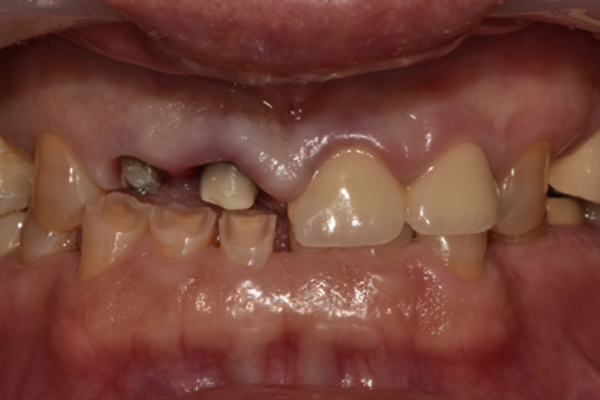
BEFORE (22.12.16)
치아교모(치아닳음,고경상실상태)

AFTER (25.2.12)
보철 치료를 통해 원래의 치아 높이를 회복 함으로써
안모 모습과 저작력 개선

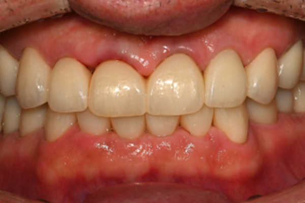
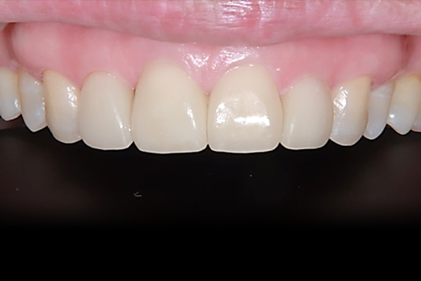
BEFORE (25.4.15)
앞니벌어짐으로 내원

AFTER (25.5.20)
미세삭제 앞니 세라믹 치료 (라미네이트)
- 굿티스치과
- 053-712-9999