- 본인의 치아를 보존하기 위해 최소삭제
0.2mm의 얇은 두께로 세라믹을 완성합니다.
자연치와 유사한 성질의 강도높은 재료와 전문 연구진의 제작 기술로 얇게 제작하여 치아 삭제량을 줄였습니다.
라미네이트보다 더 얇아진
굿티스 “당일 세라믹 앞니 치료”

최소 삭제·무삭제로 치아 손상은 최소화
얇아진 두께 만큼 두꺼워진 느낌없이 자연스럽게!
굿티스는 무조건 치아를
삭제 하지 않습니다.
GOODTIS POINT
치아 형태 뿐만 아니라,
내 얼굴에 가장 잘 어울리는 치아를 맞춤형으로 디자인 합니다
나의 변화에 필요한
단 하루의 시간

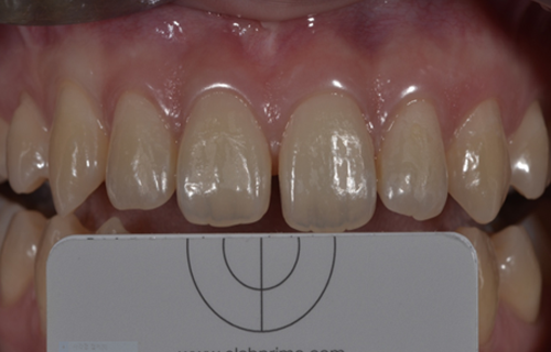
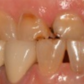
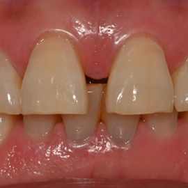
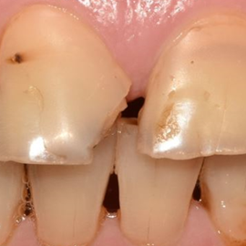
세라믹 치료는 내 치아는 가능할까?
-
- 벌어진 앞니
-
- 왜소치
-
- 노화로 닳은 치아
-
- 파절치아
굿티스 세라믹 치료 철학
-

치아표면만 다듬을뿐 삭제는 최소화 합니다.
튀어나온 부위는 최소량 삭제가 필요할수도 있습니다. -

대부분의 케이스에서 치아삭제량이 없기 때문에
마취가 필요하지 않습니다. -

일 정해진 케이스의 보철물만 집중하여 당일 치료를
완성합니다.
*치아삭제 여부는 환자 개개인의 치아 상태에 따라 달라질수 있습니다
원내 자체 디지털 기공소에 전문 기공연구원이 상주하여
더 빠르고 정교하게 제작이 가능합니다.
굿티스는 당신의 아름다운 미소를 위해 1일 1case만 집중합니다.

- 검증된 블록
- 자연치와유사한 강도

- 디지털 장비
- 정밀한 제작

- 섬세함
- elab 시스템을 이용한 쉐이드(색상)매칭
자연스런운 색상 구현
- 굿티스치과
- 053-712-9999